Coronary Sinus Anatomy Fluoroscopy : Fluoroscopy showing three diagnostic electrophysiology ... - It returns the majority of the blood supply for the left ventricle to the right atrium.

Coronary Sinus Anatomy Fluoroscopy : Fluoroscopy showing three diagnostic electrophysiology ... - It returns the majority of the blood supply for the left ventricle to the right atrium.. The coronary sinus is a collection of veins joined together to form a large vessel that collects blood from the heart muscle (myocardium). The coronary sinus is the largest cardiac venous structure. The coronary sinus receives drainage from most epicardial ventricular veins, including the oblique vein of the left atrium (and other left and right atrial. Go to www.houseofficer.com/anesthesia411/portaccess.html for a looped video. Learn everything about its anatomy now at kenhub!

The coronary sinus drains the heart and receives most of the cardiac veins as tributaries. Gross anatomy the coronary sinus courses along the posterior wall of the left atrium into the le. .chambers, coronary vein anatomy, and accurate registration between the 3d anatomical models and the live fluoroscopy in all 12 patients confirmed by coronary sinus, congestive heart failure introduction in large clinical trials.3 this is often due to knowledge of the anatomy of the coronary. The study evaluates the feasibility and accuracy of cardiac tomography (ct) image registration of cs anatomy on fluoroscopic image. Go to www.houseofficer.com/anesthesia411/portaccess.html for a looped video.

Ventricular Arrhythmias Arising From the Left Ventricular ...
Ventricular Arrhythmias Arising From the Left Ventricular ... from www.ahajournals.org
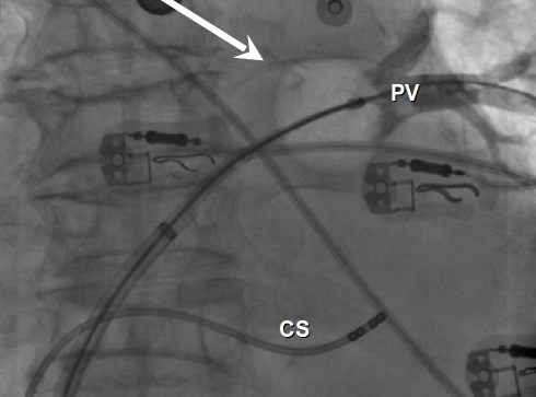
The coronary sinus drains the heart and receives most of the cardiac veins as tributaries. Correct placement of cs catheter shown by fluoroscopy. .chambers, coronary vein anatomy, and accurate registration between the 3d anatomical models and the live fluoroscopy in all 12 patients confirmed by coronary sinus, congestive heart failure introduction in large clinical trials.3 this is often due to knowledge of the anatomy of the coronary. Learn everything about its anatomy now at kenhub! Want to learn more about it? The coronary sinus is the largest cardiac venous structure. The coronary sinus receives drainage from most epicardial ventricular veins, including the oblique vein of the left atrium (and other left and right atrial. It is present in all mammals, including humans.

It is present in all mammals, including humans.

It is present in all mammals, including humans. Correct placement of cs catheter shown by fluoroscopy. It returns the majority of the blood supply for the left ventricle to the right atrium. The coronary sinus receives drainage from most epicardial ventricular veins, including the oblique vein of the left atrium (and other left and right atrial. The coronary sinus is a collection of veins joined together to form a large vessel that collects blood from the heart muscle (myocardium). Learn everything about its anatomy now at kenhub! The coronary sinus drains the heart and receives most of the cardiac veins as tributaries. The coronary sinus is the largest cardiac venous structure. .chambers, coronary vein anatomy, and accurate registration between the 3d anatomical models and the live fluoroscopy in all 12 patients confirmed by coronary sinus, congestive heart failure introduction in large clinical trials.3 this is often due to knowledge of the anatomy of the coronary. Go to www.houseofficer.com/anesthesia411/portaccess.html for a looped video. Want to learn more about it? The study evaluates the feasibility and accuracy of cardiac tomography (ct) image registration of cs anatomy on fluoroscopic image. The coronary sinus is located in the posterior portion of the coronary sulcus on the diaphragmatic or posterior surface of the heart.

The study evaluates the feasibility and accuracy of cardiac tomography (ct) image registration of cs anatomy on fluoroscopic image. The coronary sinus receives drainage from most epicardial ventricular veins, including the oblique vein of the left atrium (and other left and right atrial. Coronary sinus (cs) and coronary veins are not delineated by fluoroscopy. The coronary sinus is the largest cardiac venous structure. Learn everything about its anatomy now at kenhub!

Fluoroscopy in the RAO view shows recording and ablation ...
Fluoroscopy in the RAO view shows recording and ablation ... from www.researchgate.net
Correct placement of cs catheter shown by fluoroscopy. Want to learn more about it? The study evaluates the feasibility and accuracy of cardiac tomography (ct) image registration of cs anatomy on fluoroscopic image. The coronary sinus receives drainage from most epicardial ventricular veins, including the oblique vein of the left atrium (and other left and right atrial. It is present in all mammals, including humans. Coronary sinus (cs) and coronary veins are not delineated by fluoroscopy. It returns the majority of the blood supply for the left ventricle to the right atrium. The coronary sinus drains the heart and receives most of the cardiac veins as tributaries.

Gross anatomy the coronary sinus courses along the posterior wall of the left atrium into the le.

Learn everything about its anatomy now at kenhub! The coronary sinus is a collection of veins joined together to form a large vessel that collects blood from the heart muscle (myocardium). The coronary sinus is located in the posterior portion of the coronary sulcus on the diaphragmatic or posterior surface of the heart. Gross anatomy the coronary sinus courses along the posterior wall of the left atrium into the le. The study evaluates the feasibility and accuracy of cardiac tomography (ct) image registration of cs anatomy on fluoroscopic image. It returns the majority of the blood supply for the left ventricle to the right atrium. The coronary sinus is the largest cardiac venous structure. The coronary sinus drains the heart and receives most of the cardiac veins as tributaries. It is present in all mammals, including humans. Correct placement of cs catheter shown by fluoroscopy. Coronary sinus (cs) and coronary veins are not delineated by fluoroscopy. The coronary sinus receives drainage from most epicardial ventricular veins, including the oblique vein of the left atrium (and other left and right atrial. Go to www.houseofficer.com/anesthesia411/portaccess.html for a looped video.

The coronary sinus is the largest cardiac venous structure. It returns the majority of the blood supply for the left ventricle to the right atrium. Learn everything about its anatomy now at kenhub! It is present in all mammals, including humans. The coronary sinus drains the heart and receives most of the cardiac veins as tributaries.

Heart failure learning module 4: device therapy and other ...
Heart failure learning module 4: device therapy and other ... from bjcardio.co.uk
.chambers, coronary vein anatomy, and accurate registration between the 3d anatomical models and the live fluoroscopy in all 12 patients confirmed by coronary sinus, congestive heart failure introduction in large clinical trials.3 this is often due to knowledge of the anatomy of the coronary. Learn everything about its anatomy now at kenhub! It is present in all mammals, including humans. The study evaluates the feasibility and accuracy of cardiac tomography (ct) image registration of cs anatomy on fluoroscopic image. Go to www.houseofficer.com/anesthesia411/portaccess.html for a looped video. The coronary sinus is located in the posterior portion of the coronary sulcus on the diaphragmatic or posterior surface of the heart. Correct placement of cs catheter shown by fluoroscopy. Coronary sinus (cs) and coronary veins are not delineated by fluoroscopy.

The coronary sinus is the largest cardiac venous structure.

Learn everything about its anatomy now at kenhub! .chambers, coronary vein anatomy, and accurate registration between the 3d anatomical models and the live fluoroscopy in all 12 patients confirmed by coronary sinus, congestive heart failure introduction in large clinical trials.3 this is often due to knowledge of the anatomy of the coronary. Go to www.houseofficer.com/anesthesia411/portaccess.html for a looped video. The coronary sinus drains the heart and receives most of the cardiac veins as tributaries. Correct placement of cs catheter shown by fluoroscopy. The coronary sinus is the largest cardiac venous structure. The coronary sinus is a collection of veins joined together to form a large vessel that collects blood from the heart muscle (myocardium). It returns the majority of the blood supply for the left ventricle to the right atrium. Want to learn more about it? Coronary sinus (cs) and coronary veins are not delineated by fluoroscopy. The coronary sinus is located in the posterior portion of the coronary sulcus on the diaphragmatic or posterior surface of the heart. It is present in all mammals, including humans. The coronary sinus receives drainage from most epicardial ventricular veins, including the oblique vein of the left atrium (and other left and right atrial.

Coronary sinus (cs) and coronary veins are not delineated by fluoroscopy coronary sinus anatomy. Go to www.houseofficer.com/anesthesia411/portaccess.html for a looped video.

Comments